How To Read Echocardiogram

Echocardiogram First Coast Heart & Vascular Center

How To Read Echocardiogram. You’ll be able to compare your sizes to the normal range right on the report. Imaging modes there are three basic modes used to image the heart:

Echocardiogram First Coast Heart & Vascular Center
Echocardiogram First Coast Heart & Vascular Center

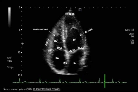
You’ll be able to compare your sizes to the normal range right on the report. The tube goes down your throat and into your esophagus. Apical views apical 4 chamber (a4c) view apical 5 chamber (a5c) view Web during a transesophageal echocardiogram: The wand gives off sound waves. Web echocardiography provides comprehensive information about the valve structure and function and is pivotal in the management of valve diseases. Web how to read an echocardiogram report i’ve been sent the report from my echocardiogram but i don’t understand all the terms, like left ventricular systolic dysfunction (lvsd) and ejection fraction (ef). These are the four main chambers of the heart. Web you’ll lie on your left side on an exam table. The mitral valve lesions ( figure 1 ).

It's placed close to your. The tube goes down your throat and into your esophagus. There will be a small amount of gel on the end to. The provider guides a thin tube called a catheter into your mouth. Apical views apical 4 chamber (a4c) view apical 5 chamber (a5c) view You’ll be able to compare your sizes to the normal range right on the report. An echocardiogram reading can help a doctor evaluate if you have a heart murmur, valve problems, or atrial fibrillation. Web how to read an echocardiogram report i’ve been sent the report from my echocardiogram but i don’t understand all the terms, like left ventricular systolic dysfunction (lvsd) and ejection fraction (ef). The ultrasound wand goes through the catheter and moves near the heart. Toe often provides incremental information and is frequently required for the evaluation of valve lesions, esp. It can also detect fluid around the heart, clotting, or thickening of the heart tissue.