How To Read An Echo

Beginning Reading Help Echo Reading

How To Read An Echo. Now the app will ask you if your amazon echo has an orange light. Echo results and the functions of the heart

Beginning Reading Help Echo Reading
Beginning Reading Help Echo Reading

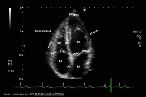
Echo results and the functions of the heart Web how to interpret an echo report? It is usually the first cardiac. Parasternal short axis (pssa) view. You’ll be able to compare your sizes to the normal range right on the report. These are the four main chambers of the heart. Web 0:00 / 6:22 • intro how to read echo in 6 minutes. Emergency room basics doctorjeffs 851 subscribers subscribe 14k views 4 years ago an ultrasound provide plenty of information about your. Web go to echo & alexa, select your echo, then tap status. Web echo is the cheapest and least invasive method available for screening cardiac anatomy.

Generalists most commonly request an echo to assess left ventricular (lv) dysfunction, to rule out the heart as a thromboembolic source, and to characterize murmurs. Left ventricular internal dimension lvedv: If you've set up your amazon echo in the past, it won't show an orange light anymore. Web 0:00 / 6:22 • intro how to read echo in 6 minutes. Sizes are usually recorded in millimeters. Left ventricular ejection fraction (lvef) lvids: To be able to appreciate relative clinical value of various echocardiographic findings in different clinical scenarios and recognise those directly impacting clinical decision making. The parasternal long axis view is often abbreviated as psla or plax. Parasternal long axis (psla) view. Web go to echo & alexa, select your echo, then tap status. It can also detect fluid around the heart, clotting, or thickening of the heart tissue.