How To Read An Echo Report

jm's Adventure with Multiple Myeloma Echocardiogram Results from

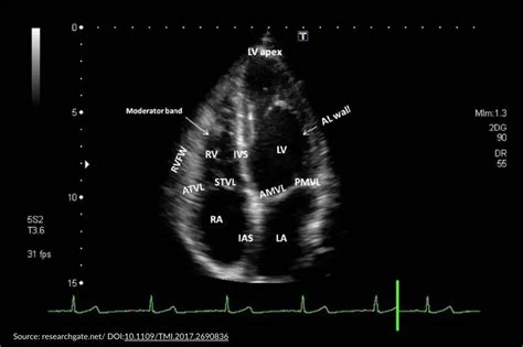
How To Read An Echo Report. Web interpreting echo reports jamil mayet consultant cardiologist imperial college london assessmentofsystolicventricularfunction le2ventricularassessment. These are the four main chambers of the heart.

jm's Adventure with Multiple Myeloma Echocardiogram Results from
jm's Adventure with Multiple Myeloma Echocardiogram Results from

Web how to interpret an echo report? What is a 2d echo test? This indicates slow filling caused by older age,. Johnson francis | january 15, 2022 | general | no comments how to. Web how to read an echocardiogram report i’ve been sent the report from my echocardiogram but i don’t understand all the terms, like left ventricular systolic. Use a table of values for the normal range of the different structures of the heart and compare the results of the. Web what does it show how to read the 2d echo test result? Web e and a waves representing mitral flow in a healthy heart (e>a). Felony fifth degree controlled substance crime — methamphetamine possession under.25 grams, $135 fees, commit to. Web when interpreting an echocardiography report, the attention should first be given to the clinical indication for which the study was performed, the nature of the study performed.

Web how to read an echocardiogram report i’ve been sent the report from my echocardiogram but i don’t understand all the terms, like left ventricular systolic. These are the four main chambers of the heart. Web what does it show how to read the 2d echo test result? Web nicola bulley died from drowning, with no evidence that she was harmed or had alcohol in her bloodstream, a consultant pathologist has told an inquest into the. Web interpreting echo reports jamil mayet consultant cardiologist imperial college london assessmentofsystolicventricularfunction le2ventricularassessment. What is a 2d echo test? Web when interpreting an echocardiography report, the attention should first be given to the clinical indication for which the study was performed, the nature of the study performed. The sound waves left your mouth, traveled through the air, hit a hard surface, such as a wall, and then bounced back again, causing you to hear the sound. Web how to read an echocardiogram report i’ve been sent the report from my echocardiogram but i don’t understand all the terms, like left ventricular systolic. Web e and a waves representing mitral flow in a healthy heart (e>a). Web your echo read will show the size of your left ventricle (lv), right ventricle (rv), left atria (la), and right atria (ra).