Ai Reading Mammograms

AI rivals human radiologists at breastcancer detection Physics World

Ai Reading Mammograms. Web an artificial intelligence (ai) system designed to read mammogram images and identify breast cancer “outperformed” radiologists in the first reading, a study has. Web an mit researcher who survived breast cancer has devised a technique that seems to predict many breast cancer cases.

AI rivals human radiologists at breastcancer detection Physics World
AI rivals human radiologists at breastcancer detection Physics World

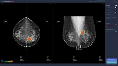
Web a 2021 review found that in 34 of 36 studies, the ai did worse than a single radiologist at screening for breast cancer from mammograms. Web an artificial intelligence (ai) system designed to read mammogram images and identify breast cancer “outperformed” radiologists in the first reading, a study has. Web nov 28, 2022, 9:58 am pst. Web artificial intelligence provides mammogram readers with a second opinion of the diagnosis, supporting them in making this highly consequential decision. Web step one in reading a mammogram is to determine breast density. Ai certainly cannot be ignored. Web they also aren't supported by health insurance companies, though there's hope that may change in the future. • the studies on ai reading of screening mammograms have methodological limitations that undermine the conclusion that ai could do better than radiologists. Web recently, such deep learning algorithms have been applied to mammography and digital breast tomosynthesis (dbt). It speeds up the reading of the mammogram, so that a.

All 36 were less accurate. Web ai is helping doctors advance the fight against breast cancer. Web artificial intelligence provides mammogram readers with a second opinion of the diagnosis, supporting them in making this highly consequential decision. In this review, the authors. Web nov 28, 2022, 9:58 am pst. Web accepted 21 july 2021 abstract objective to examine the accuracy of artificial intelligence (ai) for the detection of breast cancer in mammography screening practice. Web step one in reading a mammogram is to determine breast density. Web 9 hours agomachine learning can help with analysis of gliomas, most common brain tumor, and reduce time patients are in operating room a new artificial intelligence tool. Web recently, such deep learning algorithms have been applied to mammography and digital breast tomosynthesis (dbt). Medical personnel use a mammogram to examine a woman’s breast for breast cancer. Web ml algorithms that analyze pixel data will discern patterns from large numbers of examinations, such as mammograms, including some patterns that may not.