Acr B Reader Course

ACR 122U NFC reader on promotional ,email is

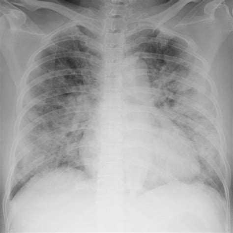
Acr B Reader Course. National institute for occupational safety and health (niosh) has selected the american college of radiology (acr) education center to provide training to increase the number of b readers available in the u.s. During the program, participants will receive lectures on the imaging features of pneumoconiosis and the international labor organization (ilo.

ACR 122U NFC reader on promotional ,email is
ACR 122U NFC reader on promotional ,email is

During the program, participants will receive lectures on the imaging features of pneumoconiosis and the international labor organization (ilo. Web the b reader program aims to ensure competency in radiographic reading by evaluating the ability of readers to classify a test set of radiographs, thereby creating and maintaining a pool of qualified readers having the skills and ability to. Web the acr education center has committed to providing at least two courses, including training and examination, to qualify at least 80 physicians to become certified b readers by august 2020. Listing does not imply medical licensure. To read black lung screening exams. National institute for occupational safety and health (niosh) has selected the american college of radiology (acr) education center to provide training to increase the number of b readers available in the u.s. Physicians from inside the united states that have who have demonstrated competence in applying the ilo classification by successfully completing the niosh b reader examination within the last 4 years. We summarize trends in participation and examinee attributes and performance during 1987 to 2018. Web the national institute for occupational safety and health (niosh) b reader program provides the opportunity for physicians to demonstrate proficiency in the international labour office (ilo) system for classifying radiographs of pneumoconioses. Read the bulletin » read the jacr

During the program, participants will receive lectures on the imaging features of pneumoconiosis and the international labor organization (ilo. Web the b reader program aims to ensure competency in radiographic reading by evaluating the ability of readers to classify a test set of radiographs, thereby creating and maintaining a pool of qualified readers having the skills and ability to. During the program, participants will receive lectures on the imaging features of pneumoconiosis and the international labor organization (ilo. Web learn more about the niosh b reader program and how to become a b reader. We summarize trends in participation and examinee attributes and performance during 1987 to 2018. Physicians from inside the united states that have who have demonstrated competence in applying the ilo classification by successfully completing the niosh b reader examination within the last 4 years. National institute for occupational safety and health (niosh) has selected the american college of radiology (acr) education center to provide training to increase the number of b readers available in the u.s. Web the jacr and acr bulletin provide topics relevant to the practice of radiology and information about the college's services and members. To read black lung screening exams. Web the national institute for occupational safety and health (niosh) b reader program provides the opportunity for physicians to demonstrate proficiency in the international labour office (ilo) system for classifying radiographs of pneumoconioses. Web the acr education center has committed to providing at least two courses, including training and examination, to qualify at least 80 physicians to become certified b readers by august 2020.